Cardioplus – Mais fôlego, mais carinho, mais vida ao lado de quem você ama
Ver seu pet ofegante, cansado ou com tosse seca constante parte o coração, né?
Esses sinais podem ser mais do que cansaço ou idade – podem ser os primeiros alertas de um problema cardíaco. E é justamente nesse momento que Cardioplus entra em cena: para devolver qualidade de vida ao seu melhor amigo e tranquilidade para você.
Cardioplus é um medicamento homeopático especialmente desenvolvido para o cuidado do coração de cães e gatos. Ele atua de forma suave e contínua, ajudando o organismo do animal a reagir contra os sintomas das cardiopatias — desde os primeiros sinais até os quadros mais avançados.
Por que escolher o Cardioplus?
Porque você quer ver seu pet respirar melhor, com mais energia para brincar, andar e te acompanhar.
Porque ele reduz sintomas como falta de ar e tosse seca, sem causar efeitos colaterais.
Porque é natural, seguro e pode ser usado junto com outros tratamentos indicados pelo veterinário.
Porque é fácil de administrar, seja direto na boca, na água ou até em petiscos.
Indicado para:
Pets com sintomas cardíacos, como tosse, cansaço e inchaço abdominal; animais idosos; e como suporte em tratamentos já diagnosticados.
Modo de usar:
Aplique por via oral, 3 vezes ao dia, de acordo com o porte do animal. Também pode ser diluído na água de beber.
Seu pet merece mais tempo saudável ao seu lado. Com Cardioplus, você oferece cuidado, carinho e qualidade de vida.
BENEFÍCIOS DO CARDIOPLUS:
Cardioplus é um medicamento homeopático de uso veterinário indicado para o tratamento de cardiopatias agudas e crônicas em cães e gatos. Atua como coadjuvante ao tratamento alopático, promovendo a estabilização do quadro clínico, melhorando a circulação e contribuindo para a qualidade de vida dos pets.
Benefícios do Cardioplus:
Melhora a circulação geral do animal.
Auxilia no tratamento de cardiopatias agudas e crônicas.
Reduz dispneia (falta de ar) e tosse seca.
Pode ser associado ao tratamento alopático.
Indicado também nos estágios iniciais das cardiopatias, prevenindo ou retardando o avanço da doença.
Fácil administração em forma de spray oral, com dosagem adaptada para diferentes portes de animais.
COMO FUNCIONA?
Cardioplus é um medicamento homeopático formulado com ativos naturais que atuam de forma suave e progressiva no organismo dos animais. Ele estimula o equilíbrio do sistema cardiovascular, ajudando o corpo do pet a reagir contra os sintomas das cardiopatias.
O uso contínuo de Cardioplus promove:
A estabilização do quadro clínico em cardiopatias.
A melhora da oxigenação e circulação sanguínea.
A redução dos sintomas respiratórios associados às doenças cardíacas.
Uma ação preventiva, retardando o avanço da doença.
QUANDO USAR?
Cardioplus pode ser usado em cães e gatos com sinais de cardiopatia, tanto em estágios iniciais quanto em quadros crônicos. É indicado para animais com sintomas como tosse seca, falta de ar, cansaço excessivo e inchaço abdominal, além de ser um importante aliado no tratamento de pets idosos ou com diagnóstico de problemas cardíacos. Pode ser utilizado sozinho nos estágios iniciais ou como complemento ao tratamento alopático, ajudando a estabilizar o quadro e retardar o avanço da doença.
MODO DE USAR:
A administração de Cardioplus é feita por via oral, em forma de borrifadas diretamente na boca do animal ou diluídas na água.
A dosagem varia conforme o porte do pet:
Animais de pequeno porte (até 10 kg): 1 borrifada, 3 vezes ao dia.
Animais de médio porte (de 10,1 a 20 kg): 2 borrifadas, 3 vezes ao dia.
Animais de grande porte (acima de 20 kg): 3 borrifadas, 3 vezes ao dia.
Gatos: 1 borrifada, 3 vezes ao dia.
Dica: Para facilitar a administração, o produto também pode ser borrifado na água de beber ou em um petisco.
ONDE E COMO USAR?
Cardioplus deve ser administrado diretamente na boca do animal, três vezes ao dia, conforme o porte. Também pode ser borrifado na água de beber ou em petiscos, facilitando a aceitação, especialmente em gatos ou pets mais sensíveis.
É indicado para uso doméstico, sendo seguro para aplicação por tutores em casa, sempre seguindo a orientação de um médico-veterinário. Pode ser utilizado isoladamente nos estágios iniciais da cardiopatia ou em conjunto com medicamentos tradicionais nos casos mais avançados.
Importante: Recomenda-se aguardar um intervalo de aproximadamente 10 minutos entre a administração de dois ou mais produtos da HomeoPet. Essa prática visa assegurar a adequada absorção e a máxima eficácia de cada formulação.
Cactus grandiflorus 7 CH, Naja tripudians 7 CH, Crataegus oxyacantha 12 CH, Strophantus hispidus 6 CH, Aconitum napellus 9 CH.
CASO DE SUCESSO COM O CARDIOPLUS
Poodle, fêmea, 16 anos
Medica Veterinária: Dra. Jônia Lemos - CRMV/PE: 2463
Clínica Veterinária do Recife
Histórico: Em abril de 2011 o animal chegou a Clínica com dificuldade para respirar, cansaço e tosse seca. Foi diagnosticado Cardiomiopatia dilatada acompanhada de Edema Pulmonar.
O tratamento prescrito constou de comprimidos quatro vezes ao dia.
Com o tratamento o animal ficou equilibrado, não apresentando mais sintomatologia cardíaca.
Após algum tempo de tratamento, a proprietária começou a enfrentar dificuldade para administrar os medicamentos, porque o animal não aceitava mais tomar os comprimidos.
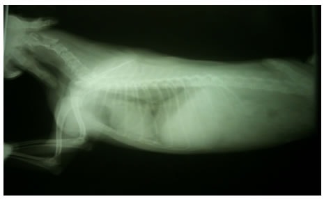
Em fevereiro de 2012 (10 meses após) a cadela foi levada para nova consulta, pois a proprietária queria parar o tratamento diante da dificuldade em administrar os medicamentos. Diante desta situação a Dra. Jônia decidiu suspender gradativamente o tratamento alopático e substituí-lo pelo uso do Homeo Pet Cardioplus, 1 borrifada 3 vezes ao dia. Nesta ocasião foi feita radiografia (fig. 01) para acompanhamento da evolução do quadro.
A radiografia evidenciou Cardiomegalia e Edema Pulmonar revelando a gravidade da situação. A área cardíaca ocupava o espaço de quatro costelas o que levando-se em conta o porte do animal significava um grave comprometimento.

Fig.01 Primeira radiografia - Apesar do longo período de uso do tratamento alopático (10 meses), é possível observar o aumento da área cardíaca e a opacidade pulmonar (edema).
Evolução: com a troca de medicamentos, e uso apenas do Homeo Pet Cardioplus, o animal não se desequilibrou, e permaneceu sem sinais clínicos. Com 60 dias de tratamento a Dra Jônia repetiu a radiografia (fig. 02) e verificou uma mudança radical na imagem radiográfica com diminuição da silhueta cardíaca e pulmão com melhor aspecto.

Fig.02 Segunda radiografia – Observa-se sensível redução da área cardíaca e transparência pulmonar normal (desaparição total do edema).
O animal continua apenas recebendo o HomeoPet Cardioplus, duas vezes ao dia, se mantém estável sem sintomas e a proprietária não tem a menor dificuldade em administrar o produto devido a plena aceitação do mesmo pelo animal.
Conclusões
O produto homeopático HomeoPet Cardioplus, se revelou eficaz no tratamento de um caso de Insuficiência Cardíaca Grave, já na fase de Assistolia (edema). Substituiu a medicação alopática com vantagens, mantendo o animal estável e sem sintomas clínicos decorrentes de cardiopatia.
Além da estabilidade clínica, com dois meses de tratamento a segunda radiografia permite verificar objetiva e visualmente a ação do Cardioplus, pois além de desaparecimento do Edema Pulmonar o correu redução da silhueta cardíaca. Antes a imagem da área cardíaca se projetava sobre quatro costelas e 60 dias após só sobre três costelas o que representa uma notável melhora.
Mais uma vez fica comprovada a ação da Terapêutica homeopática.
CARDIOPLUS
USO VETERINÁRIO
Composição:
Cactus grandiflorus 7 CH.....20,0 mL Strophantus hispidus 6 CH.....20,0 mL
Naja tripudians 7 CH.....20,0 mL Aconitum napellus 9 CH.....20,0 mL
Crataegus oxyacantha 12 CH.....20,0 mL Veículo qsp....................100,0 mL
Indicações:
Indicado para o tratamento das Cardiopatias agudas e crônicas de cães e gatos. Melhora a circulação geral. Reduz a dispneia e a tosse cardíaca.
“A eficácia desse produto não foi avaliada pelo Ministério da Agricultura, Pecuária e Abastecimento”
Posologia e Modo de Usar:
USO ORAL.
Fornecer preferencialmente direto na mucosa oral do paciente. Se houver dificuldade (animais brabos) adicionar na água de bebida ou sobre os alimentos. O tempo de uso recomendado após a mistura na água de bebida é de 01 dia, quando aplicado sobre os alimentos o consumo deve ser imediato. Em gatos é possível borrifar sobre as patas dos membros anteriores, que irá provocar instintivamente a lambedura do medicamento.
Doses:
CÃES | Pequeno porte | 1 borrifada, três vezes ao dia |
Médio porte | 2 borrifadas, três vezes ao dia |
Grande porte | 3 borrifadas, três vezes ao dia |
GATOS | | 1 borrifada, três vezes ao dia |
A frequência e número das doses podem ser alteradas a critério do Médico Veterinário.
Em caso de dúvidas entre em contato através do e-mail sac@homeopet.com.br.
Modo de Conservação:
Armazenar o produto em temperatura ambiente, ao abrigo do sol e fontes de calor. Manter afastado de fontes de radiações eletromagnéticas (rádio, celular, micro-ondas).
Responsável Técnico:
Méd. Vet. Prof. Dr. Cláudio Martins Real – CRMV-MS 000577
Proprietário e Fabricante:
CMR Laboratórios Veterinários Ltda.
Av. Zilá Corrêa Machado, 12.068
Bairro Maria Aparecida Pedrossian, Campo Grande - MS
CNPJ 12.933.715/0001-86
67 3028-9000 / homeopet.com.br
Indústria Brasileira
Licenciado provisoriamente no Ministério da Agricultura, Pecuária e Abastecimento,
sob o número 12/2018, em 8/03/2018.
Cactus grandiflorus 7 CH
Strophantus hispidus 6 CH
Naja tripudians 7 CH
Aconitum napellus 9 CH
Crataegus oxyacantha 12 CH
Cactus grandiflorus 7 CH...20,0ml, Strophantus hispidus 6 CH...20,0ml, Naja tripudians 7 CH...20,0ml, Aconitum napellus 9 CH...20,0ml, Crataegus oxyacantha 12 CH...20,0ml,